科室动态

【佑安特色】肝移植麻醉又上新台阶,佑安手术麻醉科成功开展肝移植术中经食管超声心动图(TEE)监测为患者安全保驾护航

作者:张本厚 关雷 浏览次数:
字号: + - 14

自2023年12月26日北京佑安医院成功开展第1例肝移植术中经食管超声心动图(Transesophageal echocardiography,TEE)监测,至2月20日已完成10例,成为肝移植术中重要的常规监测手段之一,为肝移植患者术中安全保驾护航,这也标志着北京佑安医院肝移植临床麻醉已迈入新的阶段。

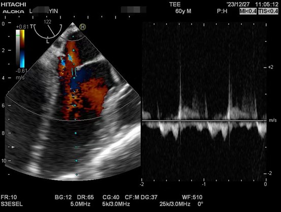
1.jpg

肝移植麻醉及TEE监测

肝硬化患者术前合并症较多,术中血流动力学波动剧烈,围术期可能发生严重低血压、心内血栓形成、肺栓塞、左室流出道梗阻、心室收缩舒张功能不全等危急事件,给麻醉管理带来巨大挑战。TEE是将超声探头放在食管中段或胃底,从心脏后方持续观察心脏结构和功能,避免肺气对成像的影响,图像清晰且不影响手术的操作,是肝移植术中重要的监测手段之一。美国心脏超声协会及美国心血管麻醉医师学会均推荐肝移植术中常规使用TEE。目前美国各大移植中心术中麻醉科术中常规使用TEE进行持续监测。

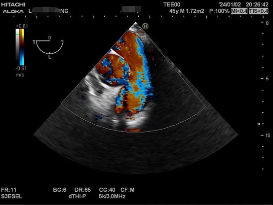
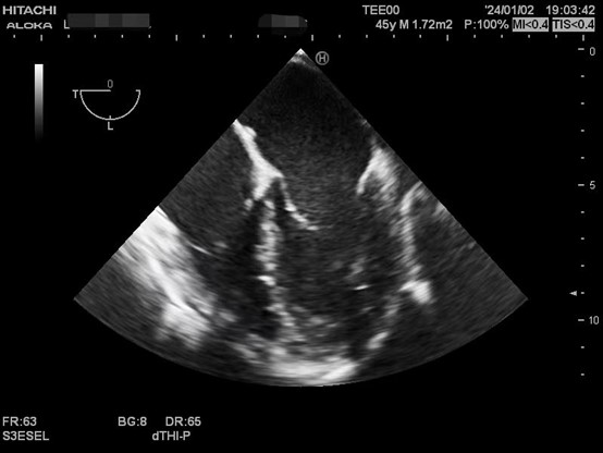
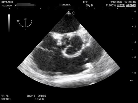
以下是肝移植术中TEE监测的图像。


截止目前,北京佑安医院已完成肝移植手术1900余例,在栗光明主任的带领下,近些年肝移植数量稳居北京市第一。手术麻醉科池萍主任在学科发展和人才培养中做出大量工作,张本厚副主任医师前期于阜外医院麻醉科完成TEE脱产培训及心血管手术麻醉,参与完成心脏手术TEE评估1000余次,并完成北京佑安医院新技术申报和伦理答辩。

今后,北京佑安医院手术麻醉科将在科主任关雷教授的带领下,不断突破创新发展,医教研齐头并进,对标国际各大肝移植中心临床麻醉水平,为佑安医院肝移植患者的安全提供坚强保障。