2024年7月25日,来自北京佑安医院援藏专家李建军在拉萨市人民医院血管介入外科首次成功为一名肺转移癌患者行肿瘤微波消融术。
患者为藏族男性,39岁,因“肝癌史1年,发现肺转移癌3个月”入院。患者一年前因腹部不适发现原发性肝癌,行多次肝动脉化疗栓塞术。3月前复查CT显示肝右叶第6、7、8段完全被肿瘤占据,直径约10cm;肝左叶第3段还有一直径约5cm的肿瘤,且两个肿瘤大部分仍有活性;另肺上发现多发转移病灶。北京佑安医院援藏专家李建军主任仔细分析患者资料,认为患者虽多次行肝动脉化疗栓塞治疗,但肿瘤仍有进展,并出现肺转移癌。建议先对肝肿瘤分次行微波消融治疗,待肝内病变稳定后再对肺转移癌行微波消融治疗。3个月前李建军主任为患者行三次微波消融治疗,此次入院腹部增强CT复查显示肝内病变完全坏死,未见复发。李建军主任建议目前可以对肺转移癌病灶行微波消融治疗。
胸部CT显示肺上病灶一个位于肺上叶,因病灶位置较高,肋间隙较窄,比邻肩胛骨,给穿刺造成明显困难;另一个病灶紧邻主肺动脉,穿刺出血风险极高。7月25日,李建军主任经过仔细读片,认真分析,选择了最佳的穿刺路径,通过CT引导,在次旺晋美医师辅助,扎西次仁和德吉卓嘎护士配合下,一次手术对两个病灶进行了精准消融,术后CT扫描显示病灶完全坏死,未出现气胸等并发症,患者安返病房。

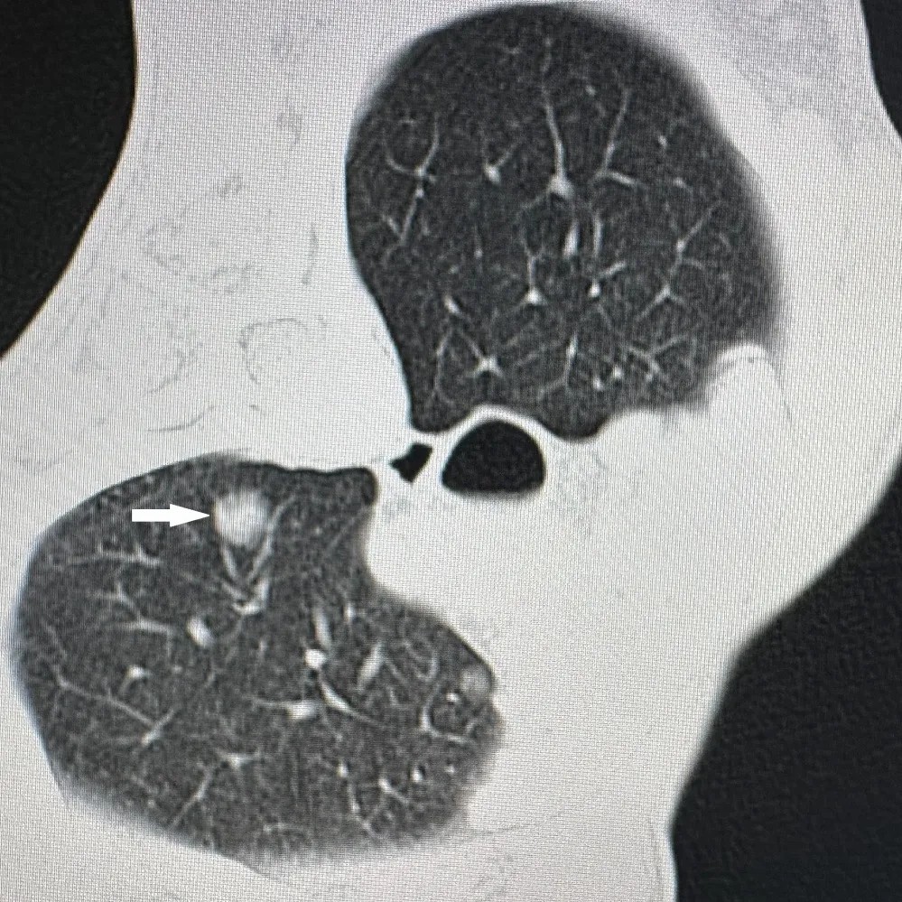
肺上叶病灶(白色箭头)

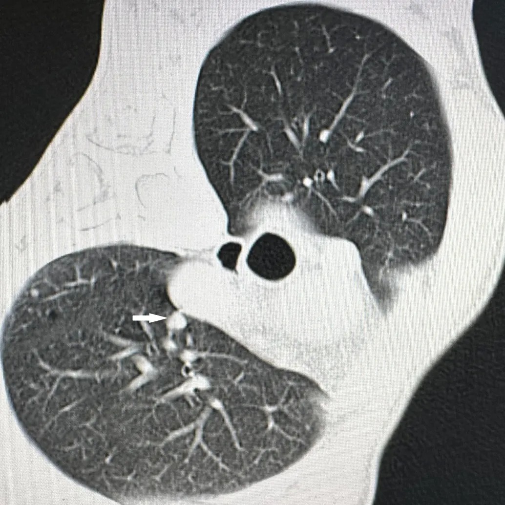
主肺动脉旁病灶(白色箭头)

李建军主任(右一)在手术中

微波天线精准穿刺入肺上叶病灶内(白色箭头)

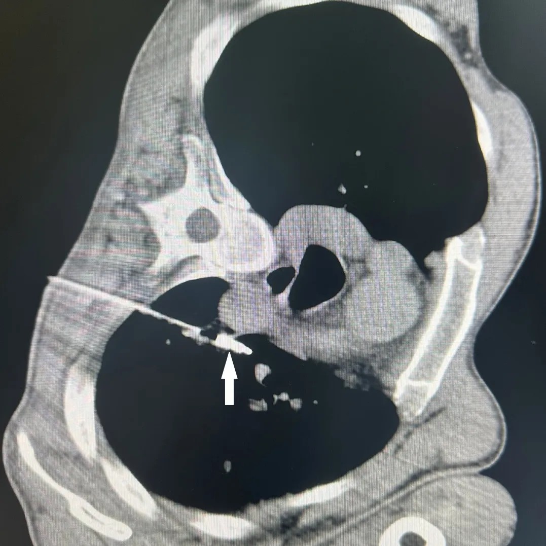
微波天线精准穿刺入主肺动脉旁病灶内(白色箭头)

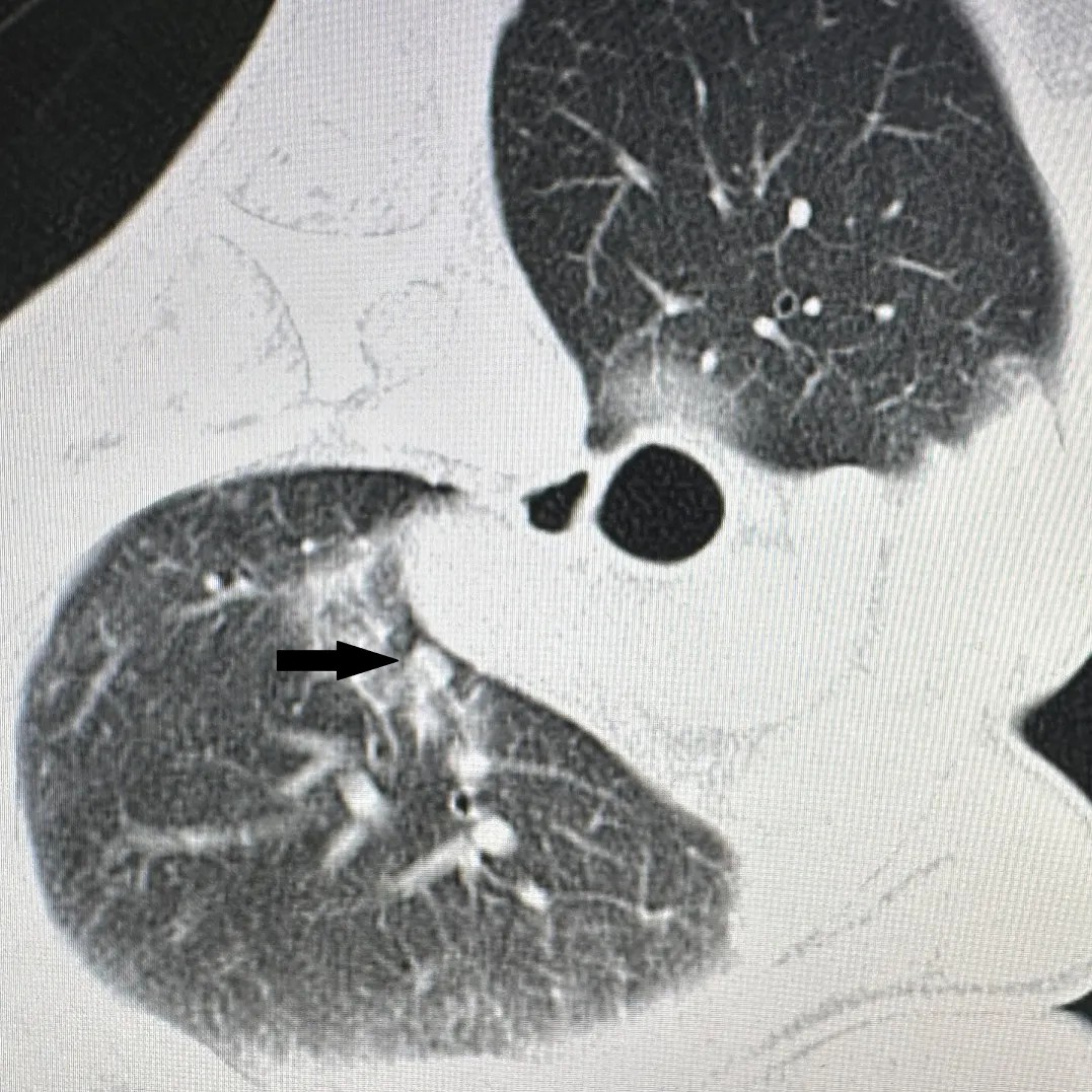
消融术后肿瘤完全坏死
(黑色箭头)

消融术后肿瘤完全坏死
(黑色箭头)
技术科普
肿瘤微波消融是在影像学(超声、CT或MRI)引导下,将消融天线直接穿刺到肿瘤内部,肿瘤组织在微波场的作用下,使极性分子随微波频率旋转,并与临近组织相互作用而产生热,通过热能诱导细胞死亡,使肿瘤组织出现凝固性坏死,以达到治疗肿瘤的目的。目前微波消融可以治疗肝肿瘤、肺肿瘤、肾肿瘤、肾上腺肿瘤、乳腺肿瘤、骨肿瘤、甲状腺结节等实体肿瘤。消融治疗肝癌是国际和国内指南推荐的三大根治性治疗方法之一,也是一种微创介入治疗,具有创伤小、费用低、疗效明确、患者恢复快等优点,避免了传统开刀所造成的巨大创伤,也可使患者免受化疗等方法引起的的脱发、呕吐等巨大副作用带来的痛苦。