2024年3月19日,来自首都医科大学附属北京佑安医院的援藏干部李建军主任医师助力拉萨市人民医院肿瘤与血管介入外科首次成功为一名原发性肝癌患者行肿瘤微波消融术。
患者是一名56岁藏族男性,因“丙肝史6年,发现肝占位10天”入院。患者既往有丙肝史,予抗病毒治疗后好转。10天前在外地医院查核磁发现肝内占位,考虑肝癌可能,建议行手术切除治疗,但患者拒绝。遂转诊至拉萨市人民医院援藏专家李建军主任医师门诊,李主任结合患者病史及影像资料,认为肝癌诊断明确,建议患者行肝动脉化疗栓塞术序贯肝肿瘤微波消融术。但患者不放心拉萨市人民医院的设备和医疗水平,执意想去北京治疗。李建军主任耐心地和患者解释,说明医院使用的是目前国内最先进的医疗设备,同意亲自为患者手术,并说明消融术是一种根治性治疗方法,和外科手术切除、肝移植一样都是肝癌的三大根治性治疗方法之一,且具有微创、费用低、术后恢复快等优势。患者及家属欣喜同意住院治疗。

图1 红色圆圈内为肝癌病灶

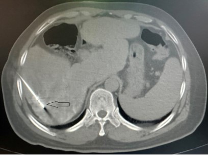
图2 微波天线穿刺入肝癌病灶内(黑色箭头)
3月12日李建军主任医师为患者行肝动脉化疗栓塞术治疗,术中造影明确诊断为原发性肝癌,术后行平扫CT可见肿瘤内碘油沉积。因肿瘤消融是首次在拉萨市人民医院开展,并需要在CT引导下操作,放射科旺堆主任积极协调科室医生、护士和技师,表示全力支持。导管室护士白玉及德吉卓嘎积极准备术中所需药品及材料。3月19日,由觉旦次仁技师操作CT,旦巴旺秋及格桑元旦医师辅助,白玉及德吉卓嘎护士配合下,李主任为患者成功行肝癌消融术,术中患者无特殊不适,手术时长30分钟,没有出血等并发症,患者安返病房。术后第1天患者也未诉任何不舒服,已可下床活动。

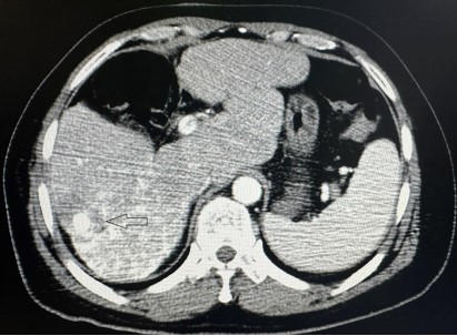
图3 消融术后肿瘤完全坏死,周围可见低密度安全边缘(黑色箭头)

图4 红色圆圈为患者的5毫米手术伤口
【科普链接】肿瘤微波消融是在影像学(超声、CT或MRI)引导下,将消融天线直接穿刺到肿瘤内部,肿瘤组织在微波场的作用下,使极性分子随微波频率旋转,并与临近组织相互作用而产生热,通过热能诱导细胞死亡,使肿瘤组织出现凝固性坏死,以达到治疗肿瘤的目的。目前微波消融可以治疗肝肿瘤、肺肿瘤、肾肿瘤、肾上腺肿瘤、乳腺肿瘤、骨肿瘤、甲状腺结节等实体肿瘤。消融治疗肝癌是国际和国内指南推荐的三大根治性治疗方法之一,也是一种微创介入治疗,具有创伤小、费用低、疗效明确、患者恢复快等优点,避免了传统开刀所造成的巨大创伤,也可使患者免受化疗等方法引起的的脱发、呕吐等巨大副作用带来的痛苦。

图5 李建军主任医师(右一)为患者手术 (次旺晋美拍摄)