随着医疗技术水平的进步,越来越多的检查和治疗需要用到造影剂,如CT检查、冠脉造影、脑血管造影及介入治疗等。为临床诊疗提供方便的同时,也存在一定的风险。造影剂脑病(CIE)虽较为罕见,临床发病较少,但诊断困难、具有一定的致残、致死风险。今天,北京佑安医院神经内科专家团队通过分析近期的一例病例来介绍一下CIE,以期为临床诊疗提供参考。
【病例介绍】
患者女性,67岁,主因“头晕1周”入院。既往病史:高血压、糖尿病、HIV病史。椎动脉超声:左侧椎动脉起始部斑块形成伴重度狭窄。考虑诊断为症状性左侧椎动脉重度狭窄,存在介入治疗指征。
于2023-07-20行全脑血管造影术,术中造影显示左侧椎动脉优势,开口狭窄,最窄处狭窄率约90%;遂行左侧椎动脉支架置入术,支架置入顺利,手术很快结束(图1)。正当准备返回病房时,患者出现意识不清、右侧肢体无力。查体:神志昏睡,失语,右上肢肌力0级,右下肢肌力2级。什么原因造成了患者病情变化呢?

图1 DSA术前显示左侧椎动脉开口重度狭窄,术后左侧椎动脉显影良好
1、支架内血栓形成/术中栓塞?
支架置入术的确存支架内血栓形成和术中栓塞的风险,根据患者的临床症状,似乎是左侧大脑中动脉供血区出现了问题,而是行支架置入术的血管是左侧椎动脉,两者不匹配。恰好患者还在手术台上,我们立即复查造影,结果显示左侧椎动脉开口处支架贴壁良好,管腔通畅,椎-基底动脉、左侧大脑中动脉、大脑前动脉主干血管及分支血管显影良好(图2)。排除了支架内血栓形成或术中栓塞的情况。

图2复查DSA显示左侧大脑中动脉、大脑前动脉主干及分支血管显影良好
2、术后脑出血?
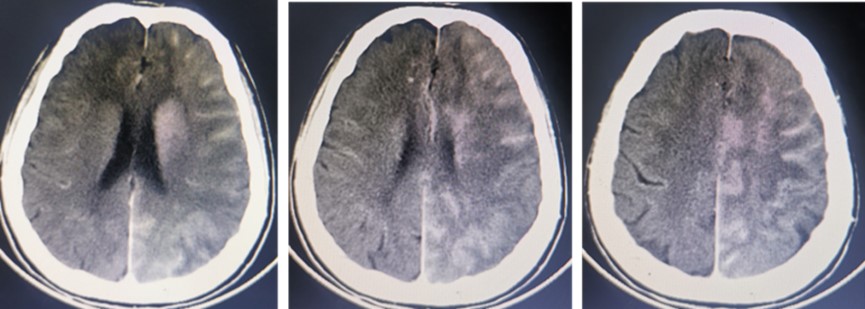
我们立即陪同患者完善颅脑CT检查,显示左侧大脑半球广泛散在高密度影,没有明显的占位效应,考虑为造影剂外渗所致,不存在与临床症状匹配的血肿(图3)。

图3 术后颅脑CT显示左侧脑内及脑沟脑裂多发斑高密度影,提示造影剂渗漏
结合上述分析,我们考虑可能为CIE所致;返回神经内科病房后我们立刻给予患者激素保护血脑屏障,甘露醇脱水减轻脑细胞水肿,大量补液水化等对症治疗。术后24h复查头颅CT示左侧大脑半球广泛高密度影完全消失(图4)。患者神志及右侧肢体无力等症状逐渐好转,进一步证实了CIE的诊断。术后3d患者症状完全消失,无任何后遗症。

图4 术后第1d颅脑CT 显示颅内多发高密度影消失
【造影剂脑病】
北京佑安医院神经内科主任孙奉辉介绍,CIE是造影剂不良反应的少见类型。造影剂引起的神经毒性发病率在0.3%~1%,使用高渗碘造影剂时可以达到4%。主要表现为脑病、癫痫发作、运动和感觉障碍、视力障碍和局灶性神经功能缺损的临床综合征,多在 48-72 小时内完全缓解。
1、CIE常见危险因素
高龄、男性、高血压、糖尿病、肾功能损害、大量使用碘对比剂、冠脉造影、脑血管造影、介入治疗以及先前对碘对比剂的不良反应。
2、CIE的发病机制
(1)与颈动脉相比,椎-基底动脉交感神经支配相对不完整,交感神经支配的小动脉血管收缩相对缺乏保护性,在存在高血压、肾功能不全、免疫抑制等危险因素时,造影剂破坏毛细血管紧密连接或增强内皮细胞吞噬作用穿透血-脑脊液屏障(BCFB),进入枕叶大脑皮质,损伤神经细胞膜,导致皮质盲或视觉空间处理障碍;
(2)BCFB受损:正常情况下,BCFB对造影剂是不可渗透的,但高剂量造影剂的渗透压、溶解性和黏度的理化性质可能会造成BCFB的渗透破坏,导致液体渗出和脑水肿。此外,造影剂注射导致腔内压力升高,超出了脑血管自我调节的能力,可能导致血管壁张力增加、紧密连接分离、BCFB破坏、造影剂局部渗出。
(3)由造影剂引起的血管壁刺激造成弥漫性血管痉挛。
3、CIE的临床表现
短暂性皮质盲是CIE最突出的表现,此外还有烦躁不安、幻视、胡言乱语等精神症状,蛛网膜下腔出血以及脑实质出血,神经毒性和脑病,无菌性脑膜炎等表现。
4、CIE典型的影像学表现
CT表现为弥漫性的皮质或皮质下增强,或蛛网膜下腔增强和纹状体增强,也可表现为局灶性高密度病变、脑沟高密度影,以及脑水肿或类似于蛛网膜下腔出血患者的蛛网膜下腔高密度改变。MRI示血管源性水肿。影像学检查只能用于排除性诊断,以明确是否存在出血或栓塞,阴性结果并不能排除CIE。
5、CIE的诊断
(1)注射碘造影剂数分钟至数小时出现;
(2)病程短,48-72小时能完全恢复;
(3)排除其他病理过程如脑缺血或出血、癫痫发作、代谢异常、药物、动脉夹层、空气栓塞等。
6、CIE的治疗
给予充分水化,促进造影剂的排出;甘露醇减轻脑水肿;适量使用糖皮质激素,减轻神经毒性作用;必要时给予抗癫痫药物对症治疗。
7、CIE的预后
呈自限性。大多数造影剂脑病发生在使用造影剂后1天内,常于2-3天内好转,完全恢复有时需要更长时间,造影剂脑病的持续时间与患者肾功能有一定关系。
【科室介绍】
首都医科大学附属北京佑安医院神经内科是集临床、教学、科研及预防于一体的临床科室,设有神经内科内门诊、神经内科病区、神经内科介入、卒中单元和NICU。主要诊治:脑血管病、中枢神经系统感染、传染病相关神经系统疾病、癫痫、痴呆、帕金森病、脊髓及周围神经病等疾病;以及头晕、头痛、失眠、焦虑、健忘等症状。其中脑血管病专业为科室重点亚专业,治疗包括:静脉溶栓、动脉取栓、颈部及颅内动脉狭窄支架置入、颅内动脉瘤栓塞、脑积水和脑出血的微创穿刺引流,以及脑血管病的二级预防治疗等。

神经内科电话:13552817478
神经内科门诊:A楼三层四诊室