近日,北京佑安医院泌尿外科刘建威医生成功实施佑安医院首例超声引导下动静脉内瘘狭窄球囊扩张成形术(PTA),该技术方法在彩超实时监控下通过高压扩张球囊对血管狭窄部位进行扩张,使血管内径恢复正常,从而保护透析患者血管资源,延长动静脉内瘘使用时间。超声引导下动静脉内瘘狭窄球囊扩张成形术(PTA)是目前国内外治疗内瘘血管狭窄的最新技术,具有操作方便,创伤小,术后即可进行穿刺透析等优点,是一种安全有效的手段。

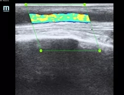
该患者为男性,规律血液透析,因内瘘流量不足,静脉压力高就诊,血管超声提示头静脉距离吻合口8-10cm处狭窄约70%,血流速度明显增快,节段性狭窄明确,符合球囊扩张成形术指征,同张愚主任讨论病情后,决定实施超声引导下经皮动静脉内瘘狭窄球囊扩张成形术。术后头静脉内径恢复正常,当日出院,第二日即应用内瘘进行血液透析,流量稳定,静脉压降至正常。

扩张前

扩张后
北京佑安医院泌尿外科在张愚主任带领下,每年为数千名透析患者建立各种血管通路,该项手术的开展填补了佑安医院在该领域的空白,为广大透析患者带来福音,为透析患者的“生命线”保驾护航。
